DigiEye 760 (Plus Model) is a full digital flat panel ceiling suspending system. With the innovation and integration ideas, the system is created under the strong capability of Instromedix India’s R&D, either in design of mechanical structure or in the post-processing software, with a number of international patents. By the unique design and full automatic function, the system will fulfill all your clinical usage than your imagination.

Flexible control modes: friendly operation interface provides most convenience for operators, improves examination speed and accuracy.
Ergonomic workflow: makes positioning, patient information registration and exposure processing more smooth and efficient. Entire digital system: be compatible with PACS/RIS/HIS seamlessly, supports storage online, browsing, query and output film by professional printer.

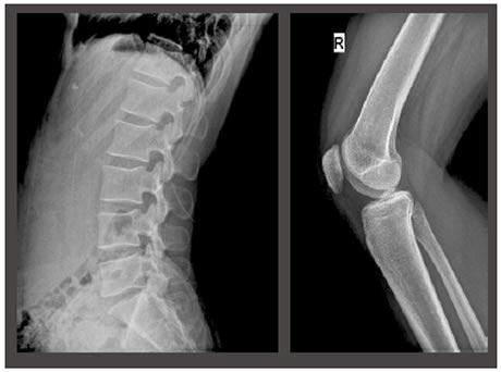
With the configuration of High frequency generator, High-end Tube, Advanced Flat Panel Detector and Functional software support, the system bring high image quality with minimum exposure dose.

The extraordinary flexibility of DigiEye 760 makes the system ideal for patients position, including physically restricted ones. Besides the routine positions, by the application of portable Flat Panel Detector, all the special advanced positions can be easily projected.